Custom abutments available in Titanium and Zirconium for certain implants.
Large selection of implant parts available in stock!
Call to verify platforms & Pricing.
* For information call Nick Sumpter @ 268-8103.
Implants
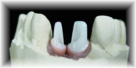
CAD/CAM Abutments:
Anatomically correct patient-specific design
Available in Titanium, Gold Coated Titanium & Zirconia
Ideal emergence profile
Multiple abutments are perfectly parallel
Accurate & precise margins

Benefits of CAD/CAM abutments!
Less Chair Time - Achieve superior esthetic results with less effort!
Make Implants as Simple as Crown & Bridge - CAD/CAM abutments can make restoring implants easier than traditional crown & bridge restorations!
Gaines Dental Laboratory - Copyright 2013.
Site design by Michael Taylor.
You are Here:
Implants
Home Page Home Page
Call us at (859) 268-8103
Dentures Dentures
Implants Implants
Full Milled Zirconia Full Milled Zirconia
Relines and Repairs Relines and Repairs
Biteguards Biteguards
Ceramics Ceramics
Removables Removables
Provisionals Provisionals